Widthness LLC

Advanced Business and Technology – Intel® Xeon® and A.I. Powered

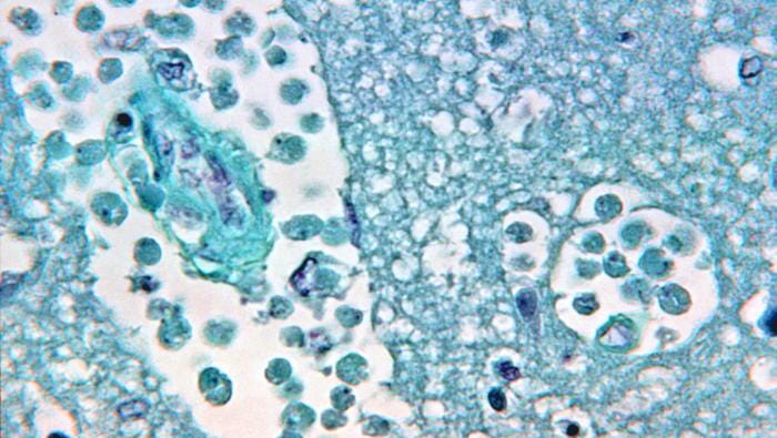
Swimming in freshwater? Here’s what to know about the rare brain-eating Naegleria fowleri.

1 min read
Swimming in freshwater? Here's what to know about the rare brain-eating Naegleria fowleri.

Image: Naegleria fowleri […] Image credit: George R. Healy, CDC. Article by Ashley R. Williams. USA Today – July 16, 2022.

A rare, but often deadly, danger lurks within freshwater ponds, rivers and lakes across the United States ⁠– and experts say recreational swimmers should be aware. Iowa officials in early July announced a beach closure at its Lake of Three Fires State Park after a Missouri resident contracted Naegleria […]