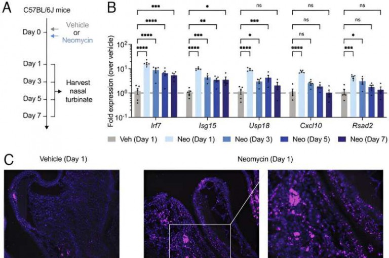
Image caption: Intranasal application of neomycin induces an upper respiratory ISG response independent of commensal microbiota. Image credit: Proceedings of...
epidemiology
Image credit: Sarah Rogers / MITTR | Getty and Science Photo Library. Article by Cassandra Willyard. MIT Technology Review -...
Photo caption: A healthcare worker administers COVID-19 booster shots at a vaccination clinic in April 2022 in San Rafael, California....
Image caption: Lone star tick (Amblyomma americanum). Image credit: Jason Ondreicka / Alamy Stock Photo. Article by Sara Goudarzi. Scientific...
Photo caption: A smallpox vaccination center in Bihar, India, in 1974. Photo credit: Santosh Basak / Gamma-Rapho via Getty Images....
