Photo: President Donald Trump holds a cabinet meeting, Thursday, January 29, 2026, in the Cabinet Room. Photo credit: Official White...
medical research
Photo credit: National Cancer Institute via Unsplash. Opinion article by Cathy Gellis. Techdirt - October 10, 2025. My cancer is back. This is...
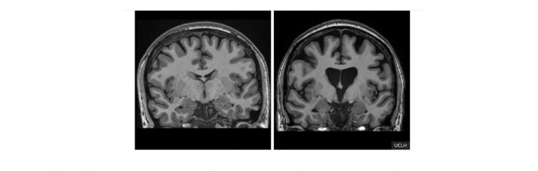
(Left image) Healthy brain tissue. (Right image) Huntington's ruinous impact on brain tissue. Image credit: University College London. Article by Graham...
Photo caption: Health and Human Services Secretary Robert F. Kennedy Jr. makes remarks at an event announcing the MAHA (Make...
Photo: President Trump Participates in Swearing in Ceremony for RFK Jr., the Secretary of Health and Human Services - February...
